Restore your smile with Bioclear
The Bioclear Matrix is an innovative minimally invasive tool that dentists can use to help improve the strength and aesthetics of patients’ teeth.
Dr. Vann is a proud certified Bioclear provider, having attended and completed extensive hands-on training with Dr. David Clark, the inventor of the Bioclear Matrix System.
“I love practicing Bioclear because it’s based on the concept of minimally invasive dentistry. Bioclear is an additive procedure. Traditional methods of dentistry reduce natural tooth structure to make a space for the crown, veneer or filling. Its capability to rejuvenate a tooth conservatively makes for a stronger and longer lasting restoration.”
Teeth restored with Bioclear are ensconced with composite, making them resistant to disease and staining, while also making the tooth look much healthier, fuller, and youthful. This patented method produces a 3-dimensional, monolithic, injection over molded tooth. Special anatomic plastic form matrices are used with an injection molded technique to produce beautiful, infinity margin restorations that are solid, strong, smooth, and stain resistant resulting in a very smooth interface between the Bioclear restoration and the tooth.
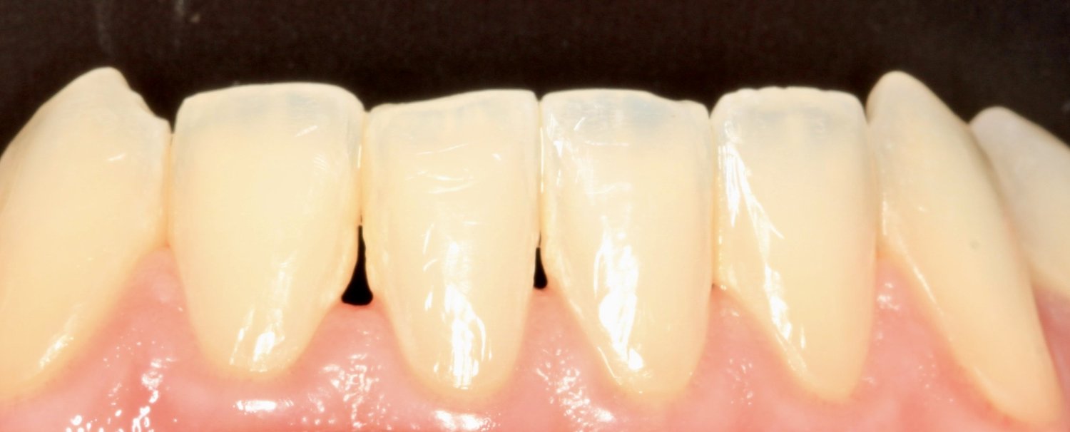
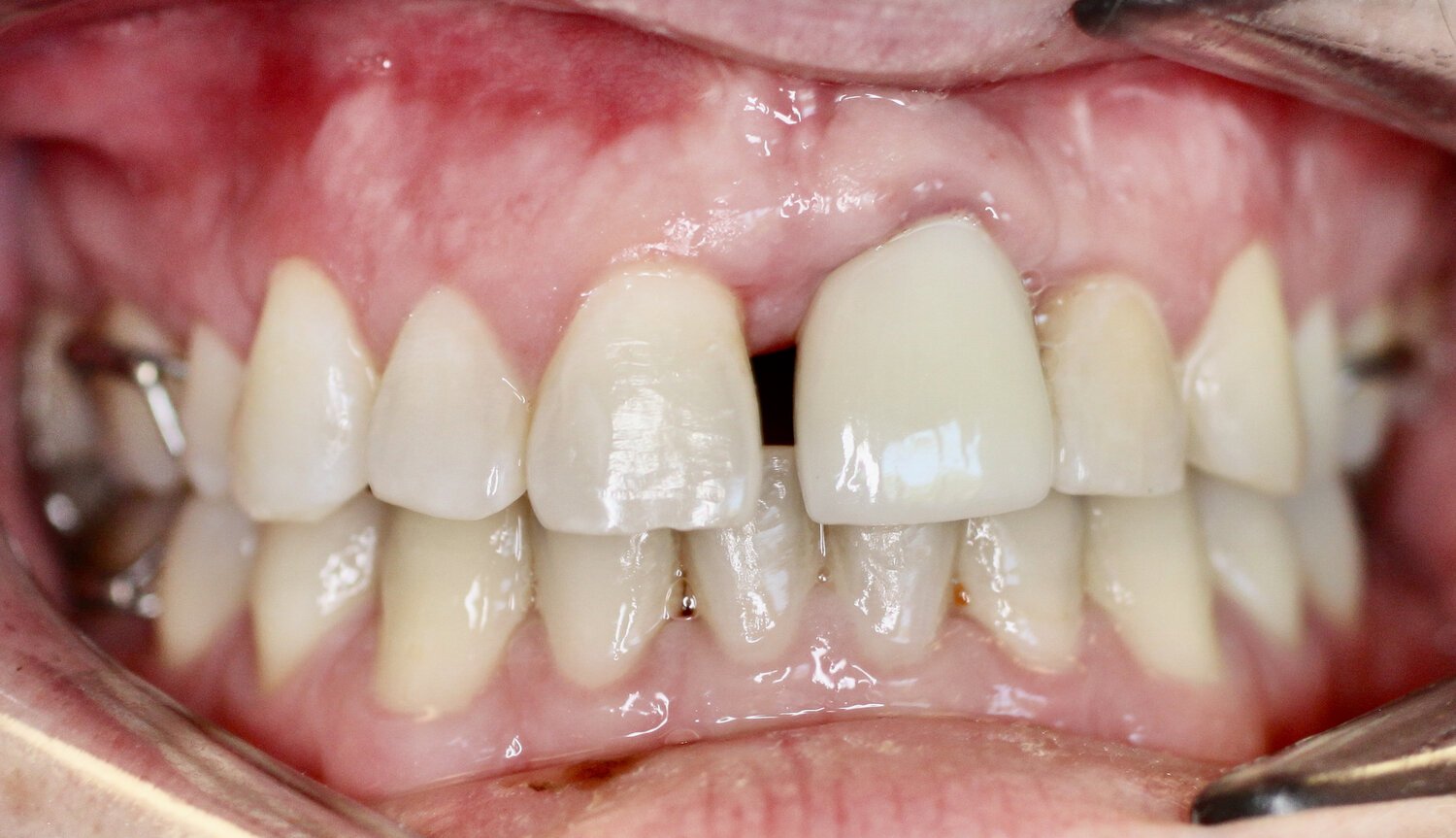
Before

After

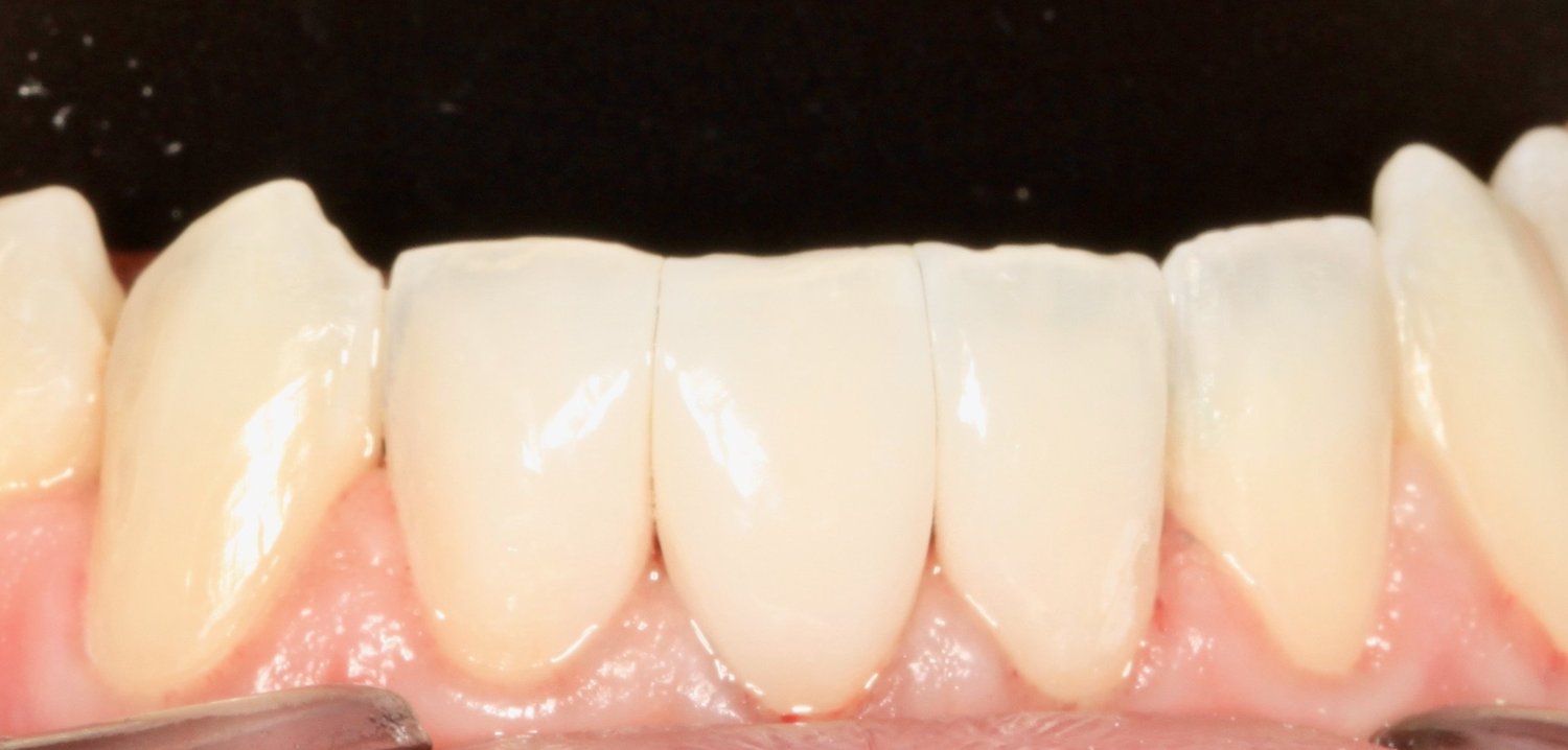
Before

After




Bioclear versus crowns and veneers
Traditional crown preparations remove about 76% of the tooth. Bioclear’s mini-mally invasive technique saves more healthy tooth structure and lessens the risk of future root canals or snap off fractures.
As we age, crowned teeth later can require extraction. Bioclear offers an innovative option to avert this outcome. Bio-clear is the best option for closing black triangles – the dark space between two teeth and the gums – without shaving the teeth down for porcelain veneers. The Bioclear method has modernized the technique for composite solutions.



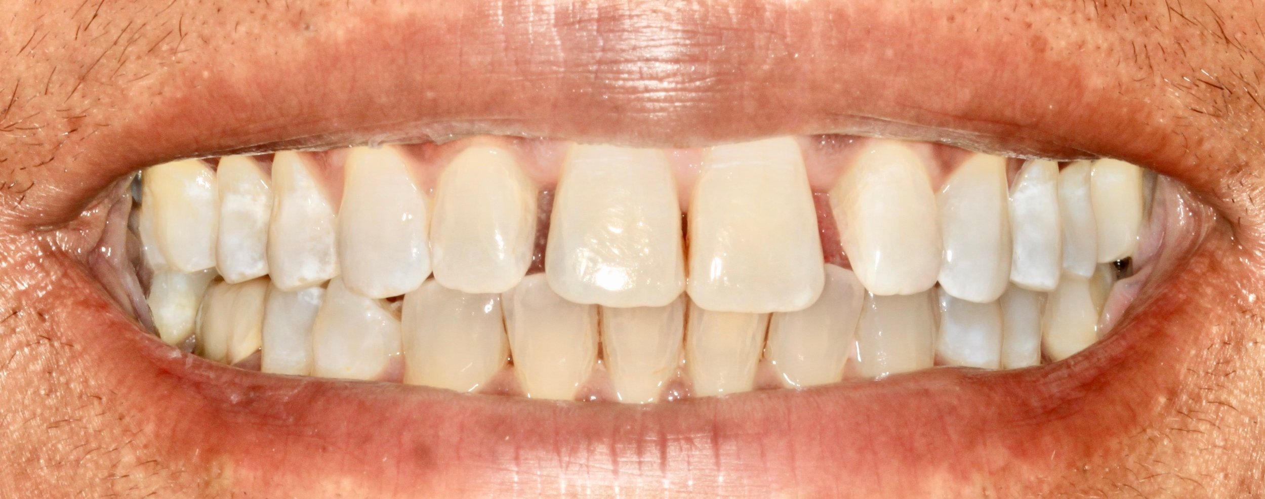
BEFORE

AFTER

Watch & Learn more:
Frequently Asked Questions
Q: How does Bioclear® Work?
A: Bioclear® works by selectively removing diseased portions of teeth and injecting composite with compression, eliminating the need for shaving down teeth that is required for installing crowns.
Q: Does Bioclear® work for everyone?
A: Bioclear® could be an alternative to crowning, however, it varies person to person. Let me evaluate your situation to see if Bioclear® is a good fit for you!
Q: Why should I get Bioclear instead of a traditional crown?
A: Most dentists have been trained to do crowns to protect a cracked tooth. Crowns require the dentist to remove 76% of the top of the tooth, leaving a nub. A crown procedure reduces the size of the tooth until it’s small enough to sit under a shell of porcelain that serves to hold the cracked sections of the tooth together.
Q: What’s the difference between Bioclear and a traditional filling?
A: Traditional fillings go “in” the tooth, which can eventually lead to a cracked tooth. Bioclear goes “around” the tooth with a combination of engineered cavity preparations and the patented Bioclear Method.
Q: A dentist told me I need to get a crown for my cracked tooth. Can I get a Bioclear Overlay instead?
A: Many teeth we would have previously crowned can now be treated with an overlay. With a quick photo and x-ray we can tell you if your tooth is a candidate for an overlay instead of a crown.
Q: Is Bioclear covered by insurance?
A: Bioclear is not covered by insurance. Dr. Vann will provide you with an estimate that reflects the complexity and number of teeth involved in your case.
Q: Why doesn’t every doctor use Bioclear?
A: The Bioclear Method is gaining in popularity and is now being taught in several dental schools. Major changes in dentistry and medicine often take many years to reach all doctors. It also takes passion and dedication to become a Bioclear provider. Bioclear certified doctors and their assistants complete extensive training and studies through a Bioclear Learning Center.







